A capsulite adesiva, conhecida também como ombro congelado, é uma patologia que causa inflamação na cápsula articular do ombro, gerando importante limitação de movimento do ombro e dor[1]Ewald A. Adhesive capsulitis: a review. American family physician. 2011 Feb 15;83(4):417-22. Disponível em: https://www.aafp.org/afp/2011/0215/p417.html.
O que é Capsulite Adesiva (ou Ombro Congelado)?
Também conhecida popularmente como ombro congelado devido à sensação de rigidez[2]Hsu JE, Anakwenze OA, Warrender WJ, Abboud JA. Current review of adhesive capsulitis. Journal of shoulder and elbow surgery. 2011 Apr 1;20(3):502-14..
Já o nome capsulite adesiva se refere à inflamação da estrutura capsular da articulação que compromete a adesão da cápsula ao ombro.
É uma condição bastante incapacitante, pois devido à dor e rigidez, os movimentos do braço se tornam limitados.
A capsulite adesiva acomete cerca de dois milhões de casos por ano no Brasil.
Afeta mais às mulheres do que aos homens e as idades mais afetadas são entre 30 e 50 anos. Podendo ser mais frequente em pessoas que, por algum motivo, mantém o braço imobilizado por muito tempo[3]Manske RC, Prohaska D. Diagnosis and management of adhesive capsulitis. Current reviews in musculoskeletal medicine. 2008 Dec;1(3):180-9.
Pode ser confundida, muitas vezes, com bursite ou tendinite, pois os sintomas em uma fase inicial podem ser similares. A diferença está na estrutura afetada, isto é, a bursite é a inflamação nas bursas e a tendinite nos tendões.
Dentre os problemas que surgem no ombro, a capsulite adesiva é considerada uma das mais incapacitantes e desafiadoras em termos de diagnóstico e tratamento, devido à falta de consenso a respeito da etiologia da doença, ou seja, das causas.
Anatomia do ombro
O ombro é composto por ossos, ligamentos, tendões e músculos. É uma região de movimentação, e contém três articulações: esternoclavicular, acromioclavicular e glenoumeral.
A articulação esternoclavicular é localizada na região entre o esterno e a clavícula, constituída por ligamentos e pela cápsula articular.
Já a articulação acromioclavicular se localiza na região do acrômio, ou seja, na extremidade, é composta também por vários ligamentos e pela cápsula articular.
Por fim, a articulação gleroumeral se situa na região do úmero, é composta pelas mesmas estruturas das demais articulações.
As estruturas das articulações, portanto, se baseiam em diferentes ligamentos e em uma cápsula articular, em cada articulação a cápsula envolve uma estrutura diferente. A cápsula articular é um tecido que reveste diferentes partes do ombro, a fim de estabilizar a articulação.
Quais são os sintomas do ombro congelado?
Os sintomas da capsulite adesiva são basicamente a dor intensa que aumenta gradualmente, a rigidez do ombro, fazendo com que a pessoa acometida perceba vagarosamente que há uma condição inadequada, pois passa a perceber dificuldade em realizar atividades do cotidiano.
Os sintomas podem ser divididos de acordo com as três fases da capsulite adesiva: a aguda ou hiperálgica; o enrijecimento ou congelamento e a de descongelamento.
Abaixo estão discriminados os sintomas de acordo com a fase:
- 01.A primeira fase é a fase aguda, em que a dor começa a se agravar progressivamente e se torna cada vez mais intensa, nesta fase costuma-se apresentar também sudorese nas mãos e nas axilas, problema circulatório, dificuldade de movimentos rotatórios e laterais e insônia. Tem a duração de cerca de nove meses.
- 02.A segunda fase é a do congelamento, em que a rigidez se instala, a dor diminui de intensidade, mas continua principalmente no período noturno, a rigidez ou congelamento do ombro consiste em um bloqueio dos movimentos. Esta fase pode ter duração de até um ano ou mais.
- 03.A última fase é a de descongelamento, em que os movimentos começam a ser mais possíveis, o ombro volta gradualmente a recuperar a elasticidade dos ligamentos e da cápsula articular, aumentando o alcance dos movimentos. A duração desta fase é extensa, podendo chegar a vinte e quatro meses para apresentar este quadro de melhora espontânea.
Causas de capsulite adesiva
Outros fatores causais, como os fatores genéticos, reações do sistema imunológico, isto é, alguma condição autoimune como o lúpus ou anemia falciforme e outros fatores patológicos, ou seja, outras doenças como diabetes, hipotireoidismo e hipertireoidismo, hérnia cervical, artrose, osteonecrose, fraturas. Cerca de 20% dos casos de diabetes apresentam a capsulite adesiva.
Há hipóteses de que a capsulite adesiva seja originada por sinovite, esta consiste em uma inflamação da membrana sinovial, que se localiza também nas articulações.
A capsulite adesiva inicia com a inflamação na cápsula, em seguida apresenta-se a rigidez e dificuldade em realizar os movimentos normais, por fim, ocorre o descongelamento, que consiste na melhora do movimento temporariamente.
A etiologia da capsulite adesiva, portanto, pode ser de origem traumática, por fatores externos ou fatores intrínsecos do próprio ombro, ou de outros problemas de saúde.
É chamada de capsulite idiopática ou primária a que não apresenta uma causa bem definida, enquanto a capsulite secundária se refere à que apresenta causas externas ou intrínsecas, como as relatadas anteriormente.
Em termos fisiológicos, considera-se que o que ocorre no processo de congelamento do ombro é que a circulação sanguínea fica prejudicada devido à contração muscular, impedindo que os nutrientes alimentem as articulações, ligamentos e os vasos sanguíneos do ombro, podendo ocasionar, então, edemas e alterações no tecido conjuntivo da área em questão, assim o processo inflamatório se desenvolve junta uma fibrose e assim, ocorre a rigidez da cápsula articular.
Além disso, a capsulite adesiva está relacionada à distrofia simpático-reflexa, isto é, em termos de sistema simpático e parassimpático que refletem no ombro a dor e a incapacitação.
Fatores de risco
Alguns fatores aumentam a chance de desenvolver capsulite adesiva, tais como:
Idade
Mais comum após os 40 anos
Sexo
70% das pessoas com ombro congelado são mulheres
Fratura de braço ou cirurgia recente
Imobilidade prolongada após a recuperação pode causar o endurecimento da cápsula do ombro
Diabetes
Duas a quatro vezes mais propensos a desenvolver ombro congelado por razões desconhecidas; os sintomas podem ser mais graves
Após um Acidente Vascular Cerebral
Espasticidade, subluxação umeral e ombro doloroso do hemiplégico podem aumentar a incidência
Hipotireoidismo ou Hipertireoidismo
A hiperatividade ou hipoatividade da tireoide pode predispor a uma maior incidência de capsulite adesiva, principalmente se a doença de base estiver descompensada.
Doença cardiovascular
Doença cardiovascular sistêmica é correlacionada com maior chance de desenvolver o ombro congelado
Doença de Parkinson
Existe uma maior incidência em pessoas com Parkinson
O que faz com que o ombro “congele”?
As causas não são claras. Acredita-se que algum tecido de cicatriz se forma na cápsula do ombro.
A cápsula é um tecido fino que cobre e protege a articulação do ombro. O tecido da cicatriz pode causar a cápsula engrossar, contraturar e limitar o movimento do ombro. A razão pela qual esse tecido cicatricial se forma não é conhecido.
Um ombro congelado, ocasionalmente, pode ocorrer após uma lesão no ombro (como uma tendinopatia do manguito rotador, luxação, ou traumas repetitivos). No entanto, isto não é comum, e de acordo com a literatura médica, a maioria dos casos ocorre sem motivo aparente.
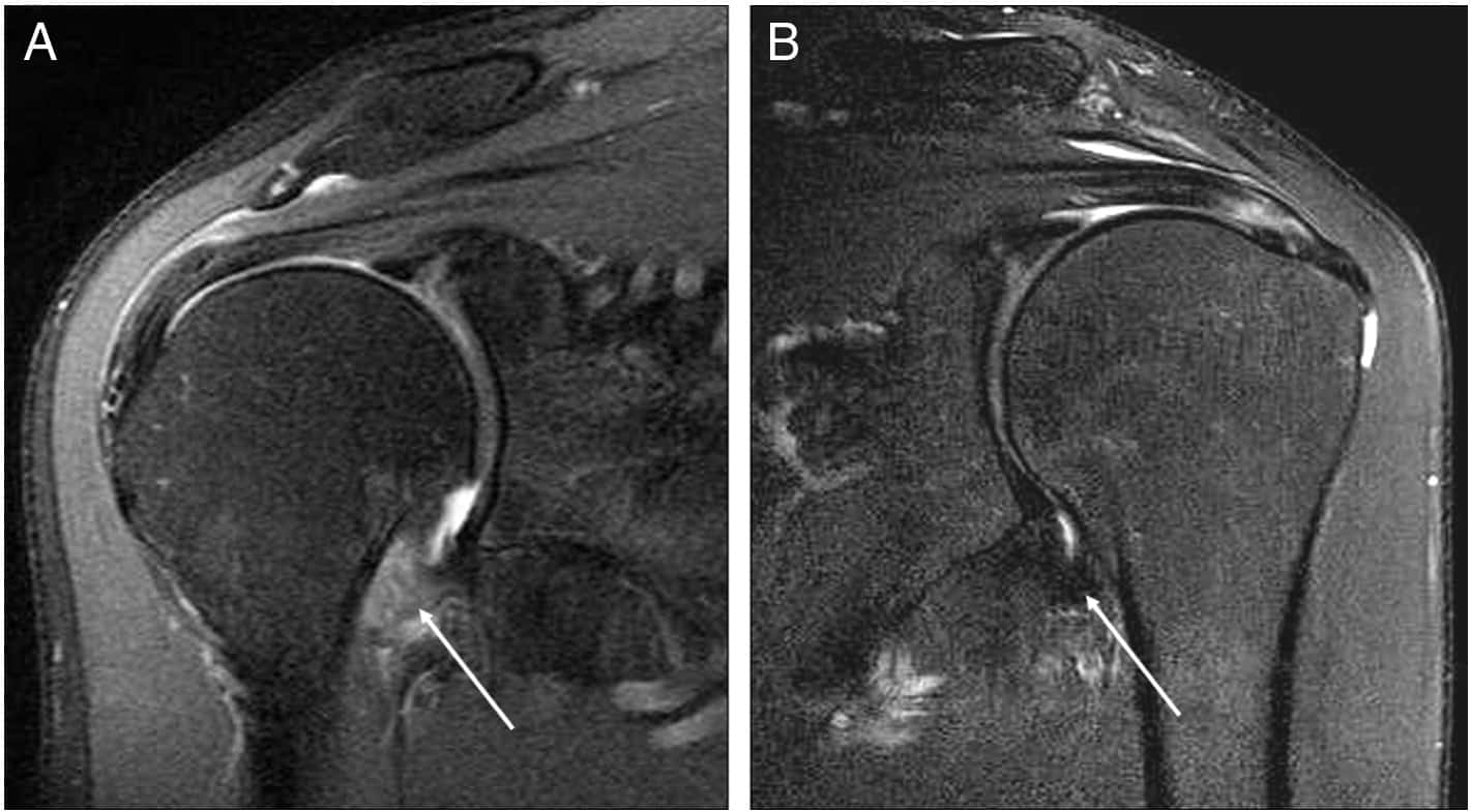
Ressonância magnética do ombro – Capsulite Adesiva
Precisarei de exames de imagem?
O diagnóstico do ombro congelado geralmente é feito pelo exame clinico e físico do médico especialista.
O médico poderá pedir também um raio-x ou uma ressonância de sua articulação do ombro[4]Emig E, Schweitzer ME, Karasick D, Lubowitz J. Adhesive capsulitis of the shoulder: MR diagnosis. AJR. American journal of roentgenology. 1995 Jun;164(6):1457-9. Disponível em: … Continue reading.
O diagnóstico clínico de capsulite adesiva idiopática depende da detecção de uma diminuição global da amplitude de movimento na articulação glenoumeral, ausência de traumatismo prévio importante e espaço articular normal em radiografias simples.
A ressonância magnética avalia o intervalo dos rotadores e o recesso axilar, que são locais comumente afetados pela capsulite adesiva.
Os achados de ressonância magnética que sugerem capsulite adesiva incluem espessamento dos tecidos moles no intervalo dos rotadores, que pode envolver os ligamentos coracoumeral e glenoumeral superior, e espessamento dos tecidos moles adjacentes à origem do bíceps.
Quais são as opções de tratamento para ombro congelado?
O objetivo do tratamento é aliviar a dor e rigidez, visando melhora da funcionalidade do paciente.
Uma ou mais das seguintes opções podem ser aconselhados para ajudar a aliviar e prevenir os sintomas.
Analgésicos comuns
Paracetamol ou dipirona pode ser aconselhado para tentar controlar a dor.
A codeína é um analgésico opióide, mais forte, que pode ser usado como uma alternativa de, ou além, paracetamol. A constipação é um efeito colateral comum da codeína e de outros medicamentos opióides como o tramadol.
É importante relembrar que o tratamento é geralmente multifatorial, sendo provavelmente necessário a associação de um programa de exercícios de reabilitação junto dos analgésicos comuns.
Analgésicos anti-inflamatórios
Os analgésicos anti-inflamatórios que podem ser utilizados são diversos, e incluem ibuprofeno, diclofenaco e naproxeno. Estes medicamentos funcionam, ajudando a aliviar a dor e, também, reduzindo qualquer inflamação no seu ombro.
Existem muitas marcas diferentes. Portanto, se um não se adequar, outro pode ficar bem. Via regra geral, o uso de anti-inflamatórios deve ser realizado por curtos períodos, de até 5 dias, devido a seus possíveis efeitos colaterais.
Às vezes, efeitos secundários ocorrem com analgésicos, anti-inflamatórios. Evite fazer o uso de medicamentos analgésicos anti-inflamatórios especialmente em idosos, nefropatas ou com outras comorbidades, pois esta classe de medicamentos pode aumentar o risco de úlceras estomacais e lesões renais, dentre outros efeitos adversos possíveis.
Exercícios de ombro
Estas são comumente aconselhados. O objetivo é manter o ombro o menos enrijecido possível, e conseguir trabalhar a maior amplitude de movimento possível.
Para o máximo benefício, é importante fazer os exercícios regularmente, conforme as orientações do médico ou fisioterapeuta.
Fisioterapia
Os fisioterapeutas podem ajudar a trabalhar a cinética muscular e articular, com exercícios para ganho de amplitude de movimento da articulação, fortalecimento, e prevenção de deformidades ou novas lesões. No início, o fisioterapeuta irá trabalhar com exercícios mais leves, sem peso, para ganho de amplitude do ombro (como por exemplo os exercícios pendulares de Codman ou o exercício da “escadinha” na parede).
Além disso, os terapeutas podem tentar outras técnicas de alívio da dor, tais como bolsas térmicas de temperatura quente ou frio e aparelhos de estimulação elétrica nervosa transcutânea (TENS), que pode ajudar a propiciar um alívio analgésico.
Bloqueio de Nervo Supraescapular, procedimento que pode ser realizado no consultório médico, ajudando no controle da dor e recuperação do movimento do ombro.
Injeção de esteroides
Uma injeção de esteroides na articulação ou próxima dela pode trazer bom alívio dos sintomas por várias semanas, em alguns casos.
Os esteroides reduzem a inflamação. A infiltração não é uma cura, pois os sintomas tendem a retornar gradualmente. No entanto, o alívio de dor que esta infiltração de corticosteroide pode trazer gera alívio para o paciente, facilita a sua aderência ao tratamento, e otimiza o programa de reabilitação.
Tratamento com ondas de choque
A terapia por ondas de choque extracorpórea mostra-se promissora como terapia para a capsulite adesiva. A ondas de choque é um tratamento não invasivo que usa a força mecânica de uma poderosa onda de choque acústica dentro dos tecidos lesados para reduzir a dor e acelerar a cura da área afetada.[5]Chen CY, Hu CC, Weng PW, Huang YM, Chiang CJ, Chen CH, Tsuang YH, Yang RS, Sun JS, Cheng CK. Extracorporeal shockwave therapy improves short-term functional outcomes of shoulder adhesive capsulitis. … Continue reading
A terapia por ondas de choque relatou tratar uma variedade de condições de dor com eficácia e segurança, incluindo síndrome da dor miofascial, dor no joelho, síndrome da dor pélvica crônica, tendinite crônica do manguito rotador, dor nas articulações sacroilíacas e congelamento ombro,
Bloqueio supraescapular
Bloqueio do nervo supraescapular é um método seguro e eficaz para tratar a dor em doenças crônicas que afetam o ombro, como lesão do manguito rotador, artrite reumatóide, tendinite calcífica, câncer, sequelas de acidente vascular cerebral e capsulite adesiva.
O nervo supraescapular fornece fibras sensoriais para cerca de 70% da articulação do ombro, incluindo as regiões superior e póstero superior da cápsula da articulação do ombro e articulação acromioclavicular.
Recentemente, o bloqueio de nervo escapular vem ganhando popularidade em um esforço para encontrar uma opção de tratamento mais simples e eficaz para ombro congelado e dor crônica no ombro.
Anatomicamente, o denominador comum é uma proliferação vascular inflamatória seguida de espessamento, e retração da cápsula da articulação.
A dor é parte importante da patologia do ombro congelado e piora da funcionalidade. Assim, com o bloqueio supraescapular, a quebra dessa relação simbiótica entre rigidez articular e dor no ombro é obrigatório para conseguir um resultado de reabilitação satisfatório.
Os médicos fisiatras e médicos especialistas em dor são capacitados a realizar este procedimento ambulatorialmente.
Cirurgia
Uma operação é considerada às vezes se outros tratamentos não ajudam. Técnicas que são utilizadas incluem:
Manipulação. Este é um procedimento onde o ombro é movido ao redor pelo cirurgião enquanto estiver sob anestesia.
Liberação capsular artroscópica. Esta é uma operação relativamente pequena feita como cirurgia ‘fechadura’. Muitas vezes é feito como um procedimento de dia-caso. Neste procedimento, a apertada cápsula da articulação é lançada com uma sonda especial.
Embora a cirurgia tenha uma boa taxa de sucesso, ela pode não ajudar em todos os casos.
Nota: é muito importante para evitar a imobilização de seu ombro – por exemplo, com um sling de ombro ou mesmo um molde de gesso. Isto na verdade poderá deixar a recuperação mais difícil e levar mais tempo para melhorar, por causa da hipotrofia muscular e desuso da articulação.
Qual é o prognóstico da capsulite adesiva?
Os sintomas do ombro congelado podem continuar por 18 meses a 3 anos ou mais. No entanto, a grande maioria das pessoas com um ombro congelado recuperar aos níveis normais de movimento e função por dois anos, mesmo sem qualquer tratamento[6]Tasto JP, Elias DW. Adhesive capsulitis. Sports medicine and arthroscopy review. 2007 Dec 1;15(4):216-21. Disponível em: … Continue reading.
É muito raro ter ombro congelado mais de uma vez no mesmo ombro.
Prevenção da capsulite adesiva
Exercícios de amplitude de movimento suaves, progressivos, e alongamentos usando seu ombro podem ajudar a prevenir o ombro congelado após uma lesão ou cirurgia.
Ombro congelado quase sempre fica melhor ao longo do tempo.
Pessoas com problemas de tireoide ou diabetes tem menores probabilidades de desenvolverem uma capsulite adesiva se manterem sua condição sob controle adequado.
Conclusão
Em síntese, a capsulite adesiva ou ombro congelado é uma condição inflamatória que acomete mais ao sexo feminino e a pessoas entre 30 e 50 anos.
Pode ser desencadeada a partir de diferentes causas, tanto intrínsecas como extrínsecas, pode estar relacionada a diversas outras doenças e, por isso, faz-se importante o diagnóstico detalhado utilizando exames de imagem e clínicos, além da anamnese e manipulação da articulação do ombro.
O tratamento, portanto, consiste em administração de medicamentos via oral ou injetável, fisioterapia, cirurgia e outras terapias.
Foi visto também que a eliminação dos sintomas pode ocorrer de forma espontânea, podendo – no entanto – durar mais de um ano para tal condição.

AL. JAÚ 687 – JARDIM PAULISTA – SÃO PAULO – SP
Clínica de Dor, Fisiatria e Acupuntura Médica
Clínica médica especializada localizada na região dos Jardins, próximo à Av. Paulista, em São Paulo — SP.
Centro de Dor, com médicos especialistas pelo Hospital das Clínicas da Faculdade de Medicina da Universidade de São Paulo.
Tratamento por Ondas de Choque, Infiltrações, Bloqueios anestésicos e Acupuntura Médica
Dor tem Tratamento – Centro de Dor e Acupuntura Médica em São Paulo – SP
Médicos Especialistas em Dor e Acupuntura do HC-FMUSP
Os especialistas em medicina da dor são médicos especialmente treinados e qualificados para oferecer avaliação integrada e especializada e gerenciamento da dor usando seu conhecimento único e conjunto de habilidades no contexto de uma equipe multidisciplinar.
O tratamento da dor visa reduzir a dor, abordando o impacto emocional da dor, ajudando os pacientes a se moverem melhor e aumentando o bem-estar por meio de uma variedade de tratamentos, incluindo medicamentos, fisioterapia, acupuntura, ondas de choque e procedimentos minimamente intervencionistas.
Se você está vivendo com uma dor persistente há mais de 3 meses, provavelmente está sentindo dor crônica.
Nossos médicos especialistas em controle da dor em São Paulo trabalham em estreita colaboração com outros especialistas como parte de uma equipe multidisciplinar para fornecer uma abordagem holística e um resultado ideal para a dor crônica, seja qual for a causa.
As técnicas usadas no controle da dor dependerão da natureza e gravidade da dor, mas nossos especialistas em dor têm experiência para ajudar com a dor.

-
01.Tratamento conservador de dor
Acupuntura Médica, Ondas de Choque, Fisioterapia, Infiltrações, Bloqueios Anestésicos, Toxina Botulínica. -
02.Excelência em um só lugar
A avaliação e tratamento da dor é a especialidade de nossos Médicos especialistas em Dor. -
03.Tratamento individualizado
Plano de tratamento com medicamentos, terapias minimamente invasivas e fisioterapia.
Atendemos todos os Planos de Saúde pelo Reembolso.
O reembolso ou livre escolha é uma opção de atendimento a usuários de planos de saúde que não está vinculada à rede de prestadores contratados ou cujo procedimento específico não está contratado.
Não atendemos diretamente por convênio. Nosso foco é um atendimento especializado no paciente. Assim, separamos pelo menos 60-90 minutos para consulta, exame e avaliação do paciente.
O processo na maioria das vezes é digital (pelo Smartphone, tablet ou computador) é simples. O valor reembolsado corresponde a uma tabela de valores da própria operadora e pode cobrir todo o procedimento ou parte dele. Lembrando que a parte não reembolsada pode ser abatida no imposto de renda pessoa física (IRPF).
Clínica Dr. Hong Jin Pai – Centro de Dor, Acupuntura Médica, Fisiatria e Reabilitação.
Al. Jaú 687 – São Paulo – SP
Atendimento de segunda a sábado.





