📊 Como a tendinopatia do supraespinhal se desenvolve? Fatores mecânicos (atrito repetitivo) ├─ Movimentos acima da cabeça (esportes, trabalho) ├─ Compressão do tendão contra o acrômio └─ Postura inadequada (“ombros caídos”) Fatores vasculares (falta de circulação) ├─ Áreas do tendão com pouca irrigação sanguínea ├─ Enfraquecimento progressivo do tendão └─ Maior vulnerabilidade a lesões * […]
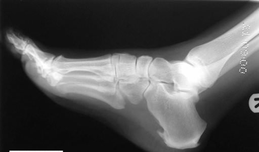
Esporão de Calcâneo: Por que se confunde tanto com Fascite Plantar?
Entenda por que este achado comum em exames de imagem raramente é a causa da dor e onde buscar o tratamento correto. Tempo de leitura: 18 min
Dor nas pernas ao correr pode ser canelite. Conheça os sintomas
As dor na canela (canelite ou síndrome do estresse tibial medial) ocorre por uma inflamação dos músculos, tendões e tecido ósseo ao redor da tíbia. A dor geralmente ocorre ao longo da borda interna da tíbia, onde os músculos se ligam ao osso.
Dores na região inferior das pernas durante a realização do exercício físico estão frequentemente associadas à canelite e são bastante comuns em atletas ou praticantes de atividades físicas de alto impacto1. Mas para evitar a evolução desse quadro e um maior comprometimento da saúde é necessário reconhecer os sintomas e as estratégias de tratamento.
Dor embaixo da costela na corrida
A dor embaixo da costela na corrida é uma queixa frequente entre praticantes dessa modalidade, e até mesmo atletas de alto nível. Saiba mais.
Bursite do Calcanhar: Sintomas, causas e tratamento
Conheça a bursite do calcâneo, seus sintomas, suas causas e descubra como é feito o tratamento dessa condição.
Os riscos da tríade da mulher atleta: Aprenda mais
Esportes e exercícios são atividades saudáveis para meninas e mulheres de todas as idades. Ocasionalmente, uma atleta que se concentra em emagrecer ou perder peso pode comer muito pouco ou se exercitar demais. Fazer isso pode causar danos a longo prazo para a saúde. Isso pode também prejudicar o desempenho atlético, ou tornar necessário limitar, ou parar o exercício.
Dor Miofascial no Quadrado Lombar – Causa comum de dor na coluna lombar
Quadrado Lombar: O Vilão Secreto da Dor nas Costas Se você tem uma dor nas costas “baixa” que nunca passa, que piora ao levantar da cama ou sair do carro, e que às vezes parece descer para o quadril, você pode estar tratando a coluna errada. O culpado muitas vezes não é a hérnia de […]
Tendinopatia patelar: O que é, causas, sintomas e tratamentos
Anatomia do Joelho: Entenda a Estrutura Clique nos elementos para saber mais sobre cada estrutura. Fêmur Patela (Rótula) Tendão Patelar Tíbia Clique em uma estrutura no diagrama. Aqui será exibida uma explicação detalhada sobre a função de cada parte do joelho relacionada à tendinopatia. Principais Causas da Tendinopatia Patelar 1 Sobrecarga Repetitiva (Fator Extrínseco) Aumento […]
Dor no Quadril em Atletas: Causas, Diagnóstico e Tratamentos para Retorno Seguro ao Esporte
Anatomia do Quadril: Estruturas Principais Cabeça do Fêmur Cartilagem Bursa Piriforme Banda IT Iliopsoas Crista Ilíaca Clique em uma estrutura para saber mais Guia de Autoavaliação: Onde é sua Dor no Quadril? Este guia é apenas informativo e não substitui a avaliação médica profissional 🔵 Dor Frontal(Virilha) 🔵 Dor Lateral(Lado do quadril) 🔵 Dor Posterior(Nádegas) […]
Fisioterapia ortopédica: Tudo o que você precisa saber
A Jornada do Tratamento: Médico e Fisioterapeuta Entenda como as especialidades se complementam em um processo integrado de cuidado. 1 📋 Avaliação e Diagnóstico Médico Profissional: Médico (Ortopedista, Fisiatra, Reumatologista). Ação: Realiza consulta, exames clínicos e de imagem (raio-X, ultrassom, ressonância) para fechar o diagnóstico (ex.: ruptura do manguito rotador, grau 2). Prescreve medicamentos se […]
- 1
- 2
- 3
- …
- 6
- Próxima Página »










